科学研究

SCIENTIFIC_RESEARCH

当前位置:首页 > 科学研究 > 科研进展 > 正文

  • 主研方向
  • 科研队伍
  • 科研进展
  • 柑桔加工与品控物流中心团队报道柑桔果胶与聚半乳糖醛酸缓解食物过敏机制
    发布时间:2025/11/13 | 供稿:刘鑫 白俊英 | 编辑:杜肖影 | 审核:黄林华 曹孟籍 刘昭暾 谭志友打印

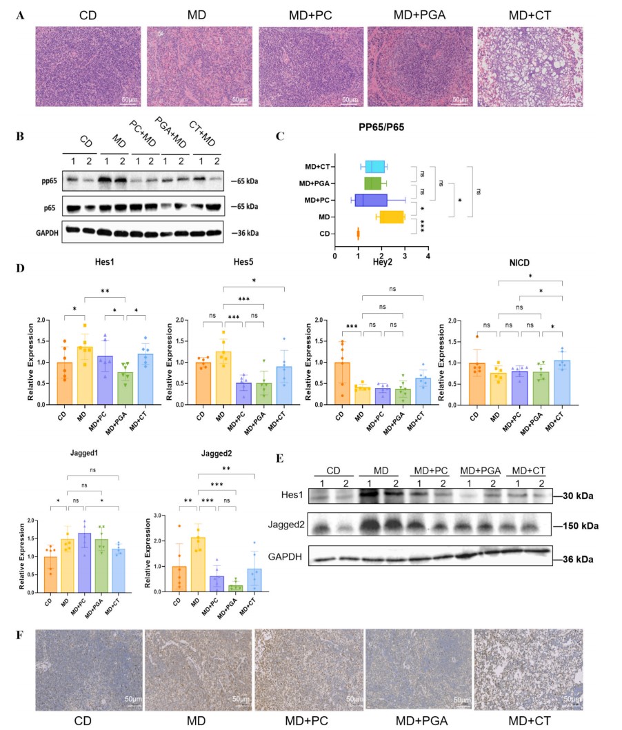
    近日,柑桔加工与品控物流中心团队在柑桔功能成分营养评价研究方面取得重要进展,研究成果以Comparative study on the mechanisms of citrus pectin and polygalacturonic acid in alleviating food allergies为题在食品领域国际权威期刊Carbohydrate Polymers(IF=12.5)上在线发表。

    33CCB

    果胶多糖对食物过敏的干预作用高度依赖于其结构。本研究基于肠道菌群、代谢组学和分子对接,比较分析了果胶(PC)与聚半乳糖醛酸(PGA)的抗过敏活性。结果表明,饮食干预PC和PGA可显著缓解过敏症状、肠道损伤以及特异性抗体IgE和IgG1的含量。其中,PGA对组胺具有显著的抑制作用,缓解了食物过敏引起的Th1/Th2失衡。此外,在肠道菌群发酵后,PC和PGA的代谢产物通过肠脾轴激活NOTCH/NF-κB通路,以减轻食物过敏。有趣的是,PGA的线性主链更容易被肠道菌群降解,从而促进组胺代谢。相比之下,PC的复杂侧链促进了宿主微生物群产生共代谢物,使它们能够参与免疫调节。这些发现强调了多糖在其免疫调节活性中的结构意义,并表明PGA有可能作为一种膳食补充剂增强免疫力。本研究探讨果胶物质的构效关系,为柑桔加工副产物的高值化利用和制定有针对性的营养干预策略提供理论依据。

    32845

    西南大学柑桔研究所为该论文第一署名单位,柑桔加工与品控物流中心2022级硕士研究生刘鑫为论文第一作者,黄林华副教授和白俊英副研究员为共同通讯作者。本研究得到了国家重点研发计划项目(2024YFD2100605)、中央高校基本科研业务费专项资金(SWU-KQ22076)、西南大学与涪陵研究院联合建设项目(FLYJY202407)、重庆市技术创新与应用发展计划项目(CSTB2023TIAD-KPX0043)、重庆市研究生科研创新项目(CYS23242)等经费的大力支持。

    原文链接:https://www.sciencedirect.com/science/article/pii/S0144861725014353?dgcid=coauthor

    来源:加工与品控物流中心

    - 您是第位访问该页面的朋友~ -
    • 概 况
    • 所 徽
    • 立所精神

    柑桔所成立于1960年,位于重庆市北碚区国家级风景名胜区缙云山麓,风景秀丽的嘉陵江畔,毗邻大磨滩湿地公园,占地面积1918亩,是唯一的国家级柑桔专业科研机构,正在打造国家柑桔公园。点击查看【建所60周年工作回顾视频】

    • 地址:重庆市北碚区歇马街道
    • 电话:023-68349709、68349708
    • 传真:023-68349712
    • 网址:http://gjs.swu.edu.cn

    所徽“天圆地方”,反映中柑所人“壹志嘉树”,以推进柑桔科技进步、产业发展为立所根本之严谨风格和博大胸怀;核心的圆形简洁勾画出“柑桔”、形象反映出中柑所专注柑桔科研的行业特征;而围绕主体的弧线代表了科技,象征着中柑所人“修远求索”的治学态度,求真务实的科研精神;星形元素立意中柑所人志在建立一个“方圆”宇宙之间柑桔科研领域的一颗的明星,闪闪发光,惠泽全人类。

    “壹志嘉树,修远求索”,分别选自中国历史上第一位伟大的爱国诗人屈原《橘颂》和《离骚》中的名句。这八个字是五十年来柑桔所人传承积淀下来的优良传统、精神风貌及办所理念的高度浓缩和凝炼提升,并与中国数千年博大精深的文化底蕴和人文精神相互交融辉映,寓意深远 ...